Welpenentwicklung

Heinz Rühmann: Man kann auch ohne Hunde leben, aber es lohnt sich nicht.

Cairn Bries

Cairn Bries Gladis in Yellow, 8 Wochen alt
heute KFT Jgd.-Ch, Champion D-KFT/VDH
und Internationaler Champion

Cairn Bries

Percy vom Haltersitz, 16 Wochen alt,
heute KFT Jgd.-Ch, Champion D-KFT/VDH,
Slovakischer- und Internationaler Champion

Cairn Bries Yukon

Cairn Bries Yukon

Bevor Ihr kleiner Cairn Bries Sie in seine Pfoten schließen kann, durchläuft ein Cairn Terrier Welpe mehrere Entwicklungsstufen.

Pränatale Phase

Auch in der Gebärmutter sind die Föten nicht von der Außenwelt isoliert. Dank der Ultraschalltechnik ist es möglich die zukünftigen Erdenbürger schon ab der 3. Trächtigkeitswoche im Bauchraum der Mutter zu beobachten.

Cairn Bries

21 Trächtigkeitstag, ein Welpe läßt sich nur schwer erahnen.

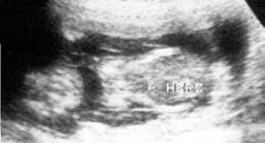
Cairn Bries

US ca. 31 Trächtigkeitstag, ein "ganz kleiner Cairn Bries"

Cairn Bries

Ein kleiner Cairn Bries mit HERZ!


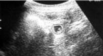
Cairn Bries

Ultraschallaufnahme ca. 40. bis 45.Trächtigkeitstag, auch er oder sie ist ein echter Cairn Bries geworden.

Bereits in diesem Entwicklungsabschnitt sind die Cairnterrier Welpen für Streicheleinheiten, über Mama`s dickes Bäuchlein, sehr empfänglich. Auch eine werdende Cairn Terrier Hundemutti braucht in dieser Zeit besonders viel Liebe und Zuneigung!
Inzwischen hat auch die werdende Mama ihr Quartier neben Frauchen`s Bett bezogen. So stehen wir unserer "Mama" in den anstrengenden Stunden zur Seite.
Unsere Kaffeemaschine hat in diesen Stunden hochkonjunktur, schließlich will man die Ankunft der neuen Erdenbürger nicht verschlafen.

Vegetative Phase

Die vegetative Phase beginnt mit der Geburt des Welpen und endet mit dem öffnen der Augen.

Cairn Bries

Cairn Bries, der 1. Lebenstag

Cairn Bries

Cairn Bries, noch ganz klein!

Die Entwicklung des Nervensystems ist mit der Geburt des Cairn Terrier Welpen noch nicht abgeschlossen. Welpen werden blind, taub und mit einen sehr gering ausgeprägtem Geruchssinn geboren.
Hunde sind sogenannte Nesthocker.
In dieser Zeit dreht sich alles nur um saugen, schlafen, saugen und wieder schlafen.
Manchmal beneidenswert, oder?

Cairn Bries

Cairn Bries Lady, unsere fleißige Hundemama.
In den nächsten Wochen erbringt sie Höchstleistung!


Es gibt keinen schöneren Anblick als eine Hundemutter mit ihren zufriedenen schmatzenden Welpen, die sorgsam betreut und mit mütterlicher Wärme umgeben werden. Hat jeder sein Nippelchen gefunden und sich fest gesaugt ist die Welt für alle in Ordnung. Aber ab den ersten Lebenstag geht es mit dem Alltagsstreß los, tägliches Wiegen.

Cairn Bries Charlotte

Cairn Bries Charlotte in dark brindle,
2 Wochen alt,

Cairn Bries Charlotte

Cairn Bries Charlotte in dark brindle
beim täglichen wiegen

Täglich nehmen wir unsere Cairn Terrier Welpen in die Hand, kontrollieren ob die Verdauung gut funktioniert, dadurch werden die Welpen sofort an die menschliche Hand gewöhnt. So beginnt ab den ersten Lebenstag die Prägung an den Menschen.
Am 7. Lebenstag steht dann auch schon die erste Wurmkur auf den Plan.

Cairn Bries Bruc Tommy

Cairn Bries Bruce - Tommy

Übergangsphase

Diesen Entwicklungsabschnitt nennt man ... weiterlesen


Cairn Terrier Pfoten


Startseite Cairn Bries  · Bestens geprägte Cairn Terrier Welpen aus liebevoller Cairn Terrier- Zucht  · Sitemap  ·  Cairn Bries Impressum